7*24小时服务热线:
0371-86185222
63 浏览郑州西区中医院内五科是一家以心脏介入为特色、中西医结合发展的专业科室,现开放床位38张,其中中医治疗床3张;科室医护团队共21人,技术力量雄厚,包括省级专家3人、主任医师5人、副主任医师4人、主治医师3人及护理人员8人。科室依托郑州大学第二附属医院专家团队支持,擅长急危重症管理和复杂手术,具备万例微创介入手术经验,并开设24小时胸痛诊疗绿色通道,确保胸痛患者在黄金救治时间内得到迅速、有效的治疗。

一、诊疗范围与技术特色
1
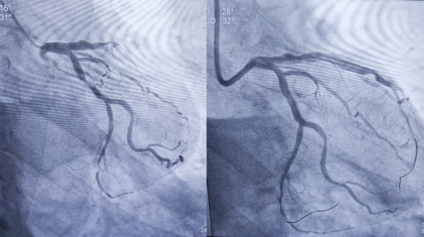
心脏介入诊疗
包括冠脉介入、结构性心脏病介入、电生理介入、大血管及外周血管介入、心脏瓣膜介入等。
优势:微创、恢复快、疗效显著。
2
心脏射频消融术
适用于室上速、房颤、房扑、频发室早、特发性室速等快速性心律失常。
案例:16岁男性,室性早搏,行射频消融术,总费用约3.1万元。
3
心脏起搏器植入
适用于严重心动过缓、窦房结功能不全、高度房室阻滞等。
案例:84岁女性,永久起搏器植入,总费用约5.9万元。
手术微创,局部麻醉,术后12小时可下床活动。


二、典型案例分析
1、39岁男性,前降支闭塞,行血栓抽吸+冠脉内溶栓。


2、71岁男性,右冠闭塞,行药物球囊扩张成形术。


3、69岁男性,双支病变,行介入治疗。


三、服务质量与管理
定期召开胸痛中心质量分析会,优化急救流程。
特色服务:
每周一下午业务学习,提升专业能力。
每周四省级专家教学查房,提升诊疗水平。
中医特色:提供中医外治与护心服务。
四、业务数据(8月至今)
· 手术总数:20例
· 急诊手术:6例
· 择期手术:13例
· 射频消融:1例
五、未来发展方向
即将开展房颤一站式治疗,包括导管消融+左心耳封堵术。
专家名片








